MAZIC Claro CAD
均一な結晶構造がもたらす材料特性と加工性
MAZIC Claro CADとは
CAD/CAM用高強度ガラスセラミックブロック
MAZIC Claro CADは、VERICOM社が開発した二ケイ酸リチウムをベースとしたCAD/CAM用高強度ガラスセラミックブロックです。均一で安定した結晶構造を形成し、長期使用を考慮した強度と硬度のバランスを実現しています。
また、加工時の高い精度と作業効率を備えています。ミリング前は粒子密度の高い構造を有しているため、加工が安定しチッピングの発生を抑制するとともに、加工時間の短縮に寄与します。さらに、ブルーステート(メタケイ酸リチウム相)の状態により低硬度となり、ミリングバーの摩耗低減が期待できます。


MAZIC Claro CADは、二ケイ酸リチウム系CAD/CAMブロックを対象とした比較研究において、高いマイクロビッカース硬度(耐摩耗性)を示した材料として報告されています。
文献の原文ファイル(PDF)はこちらからダウンロードいただけます。
出典元:Zulkifli S, Yeoh OT, Yahya NA, Kutty MG.
Evaluation and Comparison of Mechanical Properties of Lithium Disilicate-Based CAD/CAM Blocks.
Sains Malaysiana. 2024;53(1):217–229.
VERICOM社について

VERICOMとは
VERICOMは1998年の設立以来、歯科用バイオマテリアル分野で技術力を磨き続けてきた歯科材料メーカーです。「Quality First」の理念のもと、世界の臨床現場で信頼される製品を提供しています。
● 研究開発力
売上高の10%以上を研究開発に投資し、産学連携により60種以上の歯科用バイオマテリアルを展開
● グローバルな実績と信頼
100か国以上への輸出実績を持ち、海外売上比率80%超、各国認証およびOEM供給にも対応
MAZIC Claro CADの特徴

Point 1
1-Dayトリートメント
スキャンから装着までのワークフローを最適化することで、症例によっては最短約1時間での治療が可能です。

Point 2
天然歯に近い審美性
幅広い色調表現に対応しています。ビルドアップ、ステイン、グレージングなどの技工操作を行うことで、症例に応じた自然で美しい仕上がりが可能です。

Point 3
蛍光性
蛍光性を持たない一般的なジルコニアとは異なり、MAZIC Claro CADは天然歯と同等の蛍光性を備えており、審美補綴に適しています。

Point 4
幅広い適応範囲
非常に薄いベニアから、インレー、アンレー、臼歯部クラウンまで、さまざまな症例に対応できるように設計されています。
ワークフロー MAZIC Claro CAD 1-Day トリートメント
Step 1
スキャン
口腔内スキャナーを使用して支台歯をスキャンする

Step 2
設計
CADソフトウェアで修復物を設計し、加工データを作成する

Step 3
ミリング
加工データをもとにブロックから修復物を削り出す

Step 4
クリスタライゼーション
修復物を焼成し、結晶化させる

Step 5
装着
セメントを用いて修復物を支台歯に合着する

MAZIC Claro CADの症例
Case 1

Case 2

Case 3

Case 4

商品情報
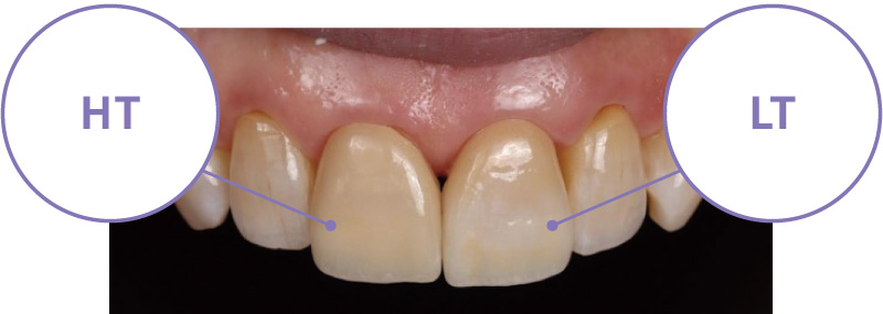
シェードカラー
MAZIC Claro CAD C14
| HT | A1・A2・A3・A3.5・A4・B1・B2・B3・B4・C1・C2・C3・C4・D2・D3・D4・BL1・BL2・BL3・BL4 |
|---|---|
| LT | A1・A2・A3・A3.5・A4・B1・B2・B3・B4・C1・C2・C3・C4・D2・D3・D4・BL1・BL2・BL3・BL4 |
| MO | 0・1・2・3・4 |
| Opal | 1・2 |
MAZIC Claro CAD B32
| HT | A1・A2・A3 |
|---|---|
| LT | A1・A2・A3 |

シェードの選び方・推奨用途
焼成スケジュール
形成ガイドライン
| 販売名 | ヴェリコム MAZIC Claro CAD |
|---|---|
| 一般的名称 | 歯科切削加工用セラミックス |
| 医療機器分類 | 管理医療機器 |
| 医療機器製造販売承認番号 | 308ALBZX00007000 |


